当前位置:首页 >
CCL4诱导大鼠肝纤维化模型(工业)
CCL4诱导大鼠肝纤维化模型(工业)
背景
CCl₄进入体内后,在肝细胞内质网中被细胞色素P450酶(主要是CYP2E1)代谢,产生自由基,导致脂质过氧化和细胞死亡,进而引起肝细胞损伤和炎症反应。肝脏的损伤和炎症反应会激活肝星状细胞(HSCs),这些细胞开始产生大量的胶原和其他细胞外基质蛋白,进而导致纤维化的形成。
材料和方法
1.实验动物:SPF级SD大鼠,雄性,6-8周,160-180g左右
2. 试剂:CCL4,大豆油
3.造模方法:皮下注射CCl4溶液, 每周2次,持续 6 周。
2. 试剂:CCL4,大豆油
3.造模方法:皮下注射CCl4溶液, 每周2次,持续 6 周。
验证
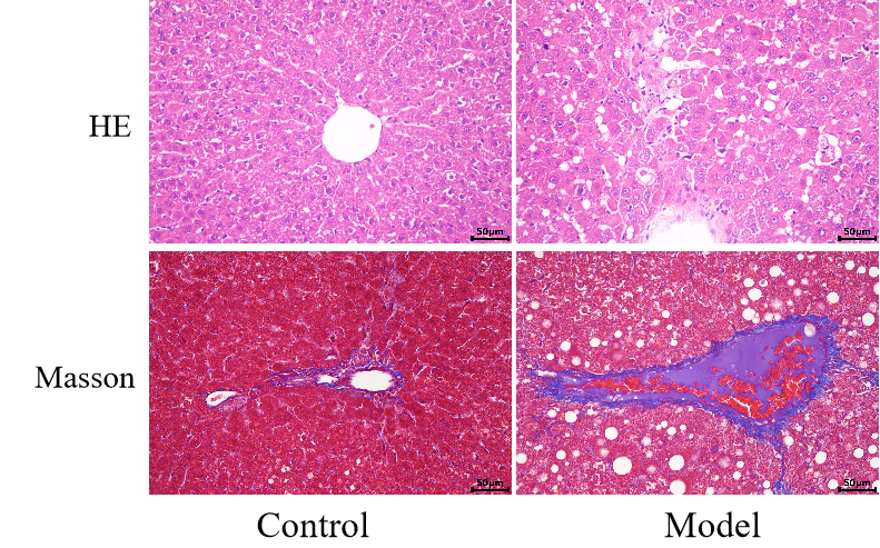
组织病理染色:
正常对照组肝细胞呈放射状排列,肝索排列较为整齐,无明显炎症细胞浸润及纤维增生;模型组可见肝细胞排列紊乱、肿胀变性、部分肝细胞核崩裂,肝组织可见大量脂肪空泡形成、炎性细胞浸润及胶原纤维增生。
