当前位置:首页 >
下肢静脉性溃疡(VLU)模型 背景
下肢静脉性溃疡(VLU)模型 背景
背景
下肢静脉性溃疡是外科常见病、多发病,是下肢慢性静脉功能不全后期的主要临床表现之一,中医称“臁疮”、“老烂腿”。该病可导致慢性疼痛、残疾、生活质量下降,常见发病部位为小腿中下段前内侧面,即足靴区,其次是内踝、外踝和足背区,深静脉瓣膜功能不全引起的静脉高压是其主要原因。其特点为病程长,反复发作,愈后有复发性,少数有癌变,对患者的生活质量和身心健康造成严重的不良后果,是外科创面修复的一大难题。因此,建立可行的下肢静脉性溃疡模型,为治疗提供基础研究非常必要的。
材料和方法
健康SPF级SD大鼠(雄性,7周龄左右,体重240-290g)
造模方法:麻醉,备皮,股静脉血栓造模,建立大鼠创面溃疡模型。
评价指标:造模血栓形成;多普勒血流测定;下肢溃疡变化;溃疡区域HE染色
造模方法:麻醉,备皮,股静脉血栓造模,建立大鼠创面溃疡模型。
评价指标:造模血栓形成;多普勒血流测定;下肢溃疡变化;溃疡区域HE染色
验证
造模血栓形成
多普勒血流测定
溃疡形成情况

在烫伤处理15min后,模型组皮肤苍白,烫伤处理后第4天开始出现结痂,后期结痂情况逐渐加重,符合造模趋势。
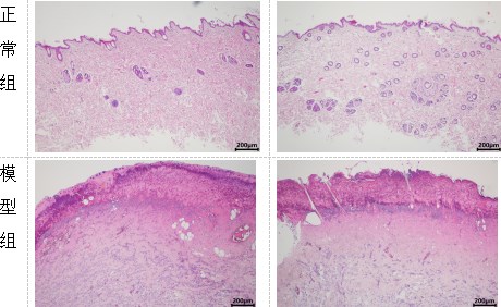
溃疡区域HE染色

正常组组织结构正常,表皮层与真皮层结构清晰,未见明显病理变化;模型组样本结构严重受损,表皮层消失,同时伴随大量炎性细胞浸润与纤维结缔组织增生,病变严重,模型成功。