当前位置:首页 >
腺嘌呤诱导慢性肾衰模型
腺嘌呤诱导慢性肾衰模型
背景
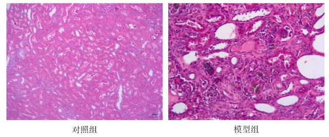
1、模型的定义:慢性肾功能衰竭(Chronic renal failure,CRF)是指由各种肾脏疾病引起的缓慢进行性肾功能损害,已在全球范围内成为继心血管、肿瘤、糖尿病之后的常见疾病,严重的威胁着人类的健康。2、模型应用方向:泌尿系统相关课题。3、实验动物(品系、周龄、性别):大鼠品系:SD、Wistar;小鼠品系:KM;周龄:8-12周;雄性。4、造模方法简介:连续4周灌胃腺嘌呤构建大鼠慢性肾衰模型。5、模型验证:正常对照组肾脏皮髓分界清晰,肾小球数目正常,无病理性变病,模型组肾小球萎缩,大量炎症细胞浸润,肾小管数量减少,官腔变大,管壁边薄,出现大量黄褐色结晶,肾间质纤维组织增生。6、参考文献:Li Huaping, et al. Antioxidation, anti-inflammation and anti-fibrosis effect of phosphorylated polysaccharides from Pleurotus djamor mycelia on adenine-induced chronic renal failure mice.[J] Int J Biol Macromol, 2021, 170: 652-663.(IF=5.162)7、其他验证:如血液肾功能生化仪检测。
材料和方法
SD大鼠(雄性,体重300~350 g)
造模方法:腺嘌呤灌胃4周诱导慢性肾衰竭模型。
评价指标:大体观察、HE染色、免疫组化(COL-I、COL-III)
造模方法:腺嘌呤灌胃4周诱导慢性肾衰竭模型。
评价指标:大体观察、HE染色、免疫组化(COL-I、COL-III)
验证
模型示意图

大体观察

肾组织HE染色

肾组织免疫组化

