当前位置:首页 >
主动脉缩窄构建心力衰竭模型
主动脉缩窄构建心力衰竭模型
背景
主动脉狭窄造成左室血液流出道受阻,左室后负荷加重,心脏的代偿机制导致心肌肥厚,部分动物发展成心衰或肺部动脉狭窄,使右心室排血受阻,右心室负荷增加,体循环回心血液不能完全进入肺循环时,出现右心衰竭,发生内脏器官充血和全身水肿等症状,造成慢性心力衰竭模型。
材料和方法
c57小鼠(雄性,6-8周龄)
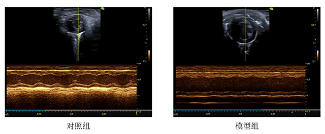
造模方法:结扎缩窄主动脉弓8周构建心里衰竭模型。
评价指标:EF、FS及超声心动图
造模方法:结扎缩窄主动脉弓8周构建心里衰竭模型。
评价指标:EF、FS及超声心动图
验证
EF及FS

超声心动图
