当前位置:首页 >
单侧输尿管结扎构建肾纤维化模型
单侧输尿管结扎构建肾纤维化模型
背景
结扎单侧输尿管造成单侧梗阻性肾病,是研究肾间质纤维化的成熟模型。这种模型手术方式通常采用从背侧入腹,通过对肾蒂及输尿管走行辨认输尿管,并进行肾盂输尿管连接部的结扎。也有研究报道,采用下腹人式行输尿管下段结扎手术,同样可制备单侧输尿管梗阻模型,且并发症显著低于常规术式,手术简单,时间短,存活率高。采用单侧输尿管结扎方法建立的肾间质纤维化模型,其病理表现特征与梗阻后肾病患者的观察结果类似,与其他方法复制的肾间质纤维化动物模型相比,模型制作方法相对简单,有较好的重复性,纤维化病变发生迅速。本模型对于研究临床上肾纤维化发生机制及药物治疗等方面具有较好的实用价值。
材料和方法
C57BL/6 小鼠(雄性,8 周龄)
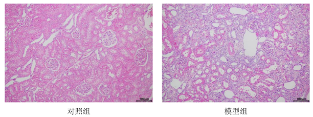
造模方法:暴露、游离、结扎并剪断左侧输尿管,逐层缝合,术后第14天成功制备肾纤维化模型。
评价指标:HE染色、Masson染色
造模方法:暴露、游离、结扎并剪断左侧输尿管,逐层缝合,术后第14天成功制备肾纤维化模型。
评价指标:HE染色、Masson染色
验证
肾组织HE染色

肾组织Masson染色
