大鼠鼻窦炎模型 Sinusitis
背景介绍:
鼻窦炎是由病毒、细菌或真菌引起的鼻窦感染,为鼻科常见疾病,分为急性鼻窦炎和慢性鼻窦炎,主要症状是鼻塞、流脓涕个头痛,常常伴随嗅觉减退或丧失,一般无传染性、无遗传性。
急性鼻窦炎多由上呼吸道感染引起,细菌与病毒感染可同时并发。常见细菌菌群是肺炎链球菌、溶血性链球菌和葡萄球菌等多种化脓性球菌,其次为流感嗜血杆菌和卡他莫拉菌属。其他的致病菌还有链球菌类、厌氧菌和金黄色葡萄球菌等。慢性鼻窦炎病因与急性鼻窦炎相似,多由急性鼻窦炎转变而来,多因对急性鼻窦炎治疗不当,或对其未予彻底治疗以致反复发作,迁延不愈,使之转为慢性。
模型应用领域:
1)探究鼻窦炎的发病机制;2)用于鼻窦炎相关模型的研究开发
实验材料:SD大鼠、金黄色葡萄球菌
造模方法:
右侧鼻窦注射定量金黄色葡萄球菌
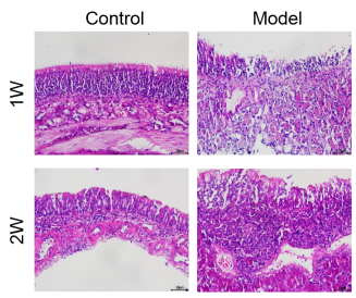
模型验证:
术后前三天大鼠不喜活动,食欲减退。术后第四天模型大鼠开始出现搔鼻,偶有喷嚏发生,1周左右活动量较正常大鼠明显减少,出现清涕或浊涕,鼻前庭潮红,搔鼻、喷嚏等症状。
2)鼻粘膜病理检测:模型组大鼠鼻粘膜损伤、发生明显的炎症。
